内参抗体

- Epsilon Tubulin Mouse Monoclonal Antibody(3C1)
-
恒远生物抗体平台现已拥有4万多种抗体(含单抗和多抗),包括人类常用抗体,模式生物类相关抗体、小分子抗体、二抗、标签抗体及内参抗体等。并以每年4000种的速度在持续增长。
恒远生物拥有专业的质控团队,配备先进实验仪器,现已成功地建立了ChIP平台,因此我们的抗体不仅能提供Biotin、FITC、HRP等标记,大部分抗体都能进行ELISA、WB、IHC、IF、IP、ChIP等应用验证。
我们致力于为所有用户提供高亲和力、高特异性的优质抗体,欢迎来电咨询。
Epsilon Tubulin Mouse Monoclonal Antibody(3C1)
-
货号:HYK-200216
-
规格:
-
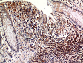
图片:
产品详情
-
别名:Epsilon Tubulin
-
宿主:Mouse
-
反应种属:H, R, M
-
免疫原:Synthetic Peptide of Epsilon Tubulin
-
纯化方式:The antibody was affinity-purified from mouse ascites by affinity-chromatography using specific immunogen.
-
浓度:It differs from different batches. Please contact us to confirm it.
-
保存缓冲液:Liquid in PBS containing 50% glycerol, 0.5% BSA and 0.02% sodium azide.
-
应用范围:IHC 1:100-200
-
储存条件:Upon receipt, store at -20°C or -80°C. Avoid repeated freeze.
-
货期:Basically, we can dispatch the products out in 1-3 working days after receiving your orders. Delivery time maybe differs from different purchasing way or location, please kindly consult your local distributors for specific delivery time.
RFP-Tag Monoclonal Antibody
ECFP-Tag Monoclonal Antibody
TUBG1 Monoclonal Antibody
Muscle actin Mouse Monoclonal Antibody(3E9)
Nano-Tag9 Monoclonal Antibody
S1-Tag Monoclonal Antibody
在线询价
- *
- *
- *
- *
- *
-
*
);)
相关产品
E2-Tag Monoclonal Antibody
恒远生物抗体平台现已拥有4万多种抗体(含单抗和多抗),包括人类常用抗体,模式生物类相关抗体、小分子抗体、二抗、标签抗体及内参抗体等。并以每年4000种的速度在持续增长。
查看详细PCNA Monoclonal Antibody
恒远生物抗体平台现已拥有4万多种抗体(含单抗和多抗),包括人类常用抗体,模式生物类相关抗体、小分子抗体、二抗、标签抗体及内参抗体等。并以每年4000种的速度在持续增长。
查看详细Myc-Tag Monoclonal Antibody
恒远生物抗体平台现已拥有4万多种抗体(含单抗和多抗),包括人类常用抗体,模式生物类相关抗体、小分子抗体、二抗、标签抗体及内参抗体等。并以每年4000种的速度在持续增长。
查看详细




